グループ内での役割
ニチレイの未来を作る
第三の事業
食品事業・低温物流事業に続くニチレイグループの第三の柱として、バイオテクノロジー分野を担っています。分子診断薬や抗原検査キット、バイオ医薬品原料などの開発・提供を通じて、医療・研究の発展に貢献し、グループの新たな成長を支えています。
Business
主な事業
-
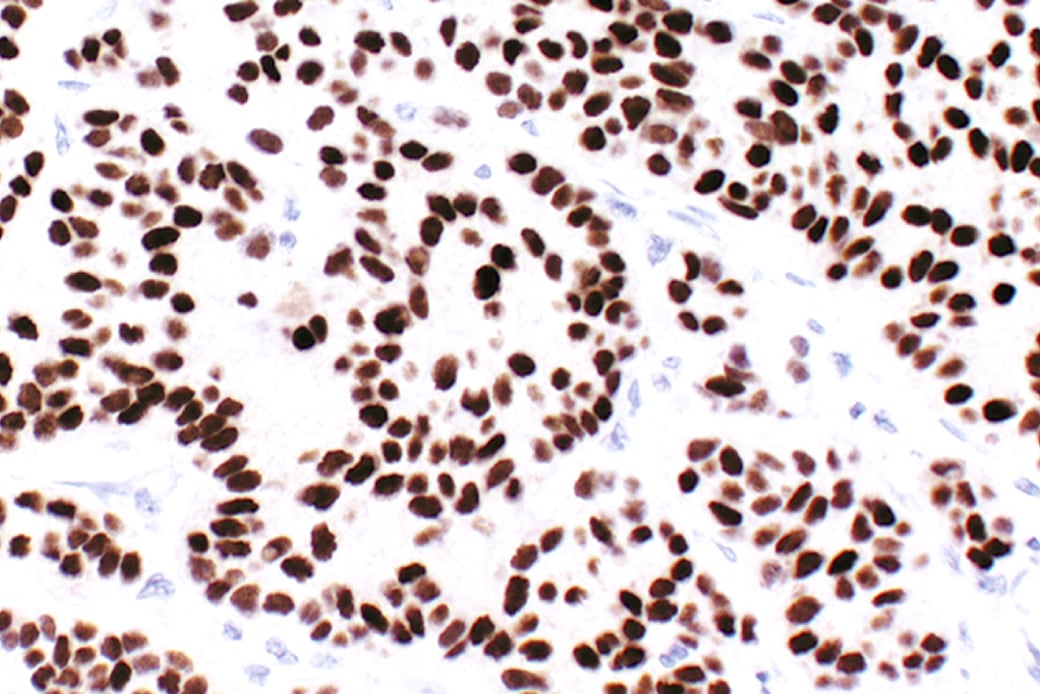
Molecular diagnostics

分子診断薬事業
免疫組織化学染色製品の研究開発・製造販売や遺伝子検査製品の輸入販売・製造販売
-
Immunochromatography

イムノクロマト事業
インフルエンザなど上気道感染症の簡易迅速診断薬に関する研究開発・生産・販売
-
Biopharmaceuticals

バイオ医薬品原料事業
細胞培養に用いられる培地、動物血清等の輸入販売
Business, Products, & Services
各事業と商品・サービス
01
分子診断薬事業
がんの診断や治療方針の決定に使用される診断薬や研究用試薬の開発・製造、販売
- 主なお客様
- 病院の病理部・検査部、大学の病理学研究室
- 活用場面
- 腫瘍の良悪の判定(乳癌・胃癌など)といった診断や研究に用いられる
- 当社の役割
- 信頼性の高い高品質な製品を提供することで、病理診断を通じて患者様の適切な診断に貢献する
02
イムノクロマト事業
イムノクロマト法を用いた新型コロナウイルス・インフルエンザウイルス・A群ベータ溶血連鎖球菌(溶連菌)等を判定する診断薬の開発・製造・販売
- 主なお客様
- 診療所・クリニック、病院検査部
- 活用場面
- 感染症流行時に病原体(ウイルス、細菌)を迅速に検出し診断の補助に用いられる
- 当社の役割
- 迅速かつ高品質な製品を提供することで患者様の適切な診断に貢献する
03
バイオ医薬品原料事業
細胞培養に用いる牛胎児血清等の輸入販売
- 主なお客様
- 医薬品企業、大学の医学・生物学系研究室
- 活用場面
- 企業のバイオ医薬品や抗体医薬の研究・開発・製造部門で用いられる
- 当社の役割
- 信頼性の高い製品を提供することで、バイオ医薬品の研究・開発・製造に貢献する
Strengths
ニチレイバイオサイエンスの強み
個別化医療を支える、
自社開発のコンパニオン診断薬
コンパニオン診断薬をはじめとしたグローバル企業に負けない開発力と品質。昨今では患者様それぞれに適切な治療を施す「個別化医療」が求められております。特定の医薬品の有効性や安全性を一層高めるために、ある治療薬がその患者様に効果があるかどうか、治療前に検査することをコンパニオン診断といい、そのために使用される診断薬がコンパニオン診断薬です。当社はこれまで培ってきた独自開発された「コンパニオン診断薬」を2014年から製造販売しています。
Interview
社員インタビュー
ニチレイバイオサイエンスで活躍する社員がどんな想いで仕事に向き合い、どんな経験をしてきたのか。
リアルな声を見てみたい方はぜひ社員インタビューをご覧ください。







